Op 30 juni 2014 komt de bijna vijf jaar oude rammelaar Bunny op het spreekuur. Bunny voelt zich niet lekker en wil sinds één dag niet meer eten. De dag ervoor was er met Bunny nog niets aan de hand. Bunny wordt goed onderzocht, Bunny blijkt koorts te hebben en de dierenarts voelt een dikte ter hoogte van zijn blaas. Bunny's urine is wittig van kleur en er zit ook bloed in. Bunny krijgt medicijnen en moet snel verbeteren, anders zullen we nader onderzoek instellen en een röntgenfoto van zijn buik maken.

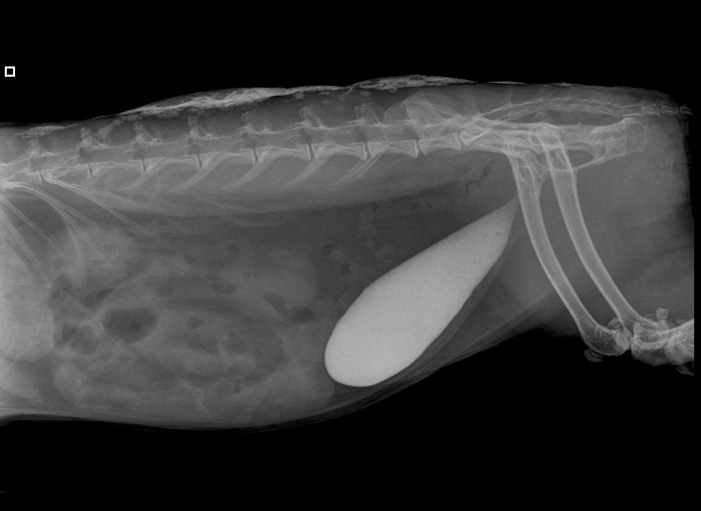
Bunny knapt niet genoeg op. De volgende dag is de koorts wel verdwenen, maar hij voelt zich nog niet lekker. We hebben Bunny opgenomen en een röntgenfoto van zijn blaas gemaakt. Op deze foto kwamen we een heel bijzonder beeld tegen; de gehele blaas wordt opgevuld door een zeer radiodense inhoud die de contouren van de blaas volgt!

Wat zit er bij Bunny in de blaas?

Bunny's blaas wordt volledig opgevuld door kristallen. Kristallen (gruis) van calciumoxalaat wat vaak 'sludge' of 'zand'  wordt genoemd. Wanneer konijnen een calciumrijk dieet krijgen wordt de overmaat aan calcium via de urine uitgescheiden. Dit calcium vormt met oxaalzuur de zogenaamde calciumoxalaatkristallen wat als een kristallen, als een dikke pasteuze klont (zoals bij Bunny) of als echte blaasstenen in de blaas en plasbuis voor problemen zorgt.

In Bunny's geval lukte het niet om de dikke inhoud via een catheter uit zijn blaas te spoelen en daarom hebben we Bunny operatief van zijn ballast moeten verlossen. Bunny zat een uur na de ingreep al weer heerlijk in zijn hokje.

 

Bunny1-1 2Röntgenfoto met een duidelijk zichtbare blaas met radiodense inhoud

Bunny1
De (nog opgeopende) blaas,
de sludge is duidelijk zichtbaar door de blaaswand heen

Bunny2
De blaas wordt geopend

Bunny4
De harde inhoud komt te voorschijn

Bunny6

Bunny8


Bunny14
Het 'zand' is uit de blaas verwijderd

Bunny12
De blaas wordt uitgebreid gespoeld

Bunny16
Een uurtje na de ingreep is Bunny alweer wakker

Bunny15

 

We zijn nu een maand later en het gaat erg goed met Bunny. Volgens de eigenaar heeft Bunny sinds de ingreep mooie grote plassen gedaan, iets wat door de ophoping van 'zand' in de blaas vóór de operatie niet mogelijk was.

 

Het laatste nieuws

Radio dierenarts Groningen / Vraag van de week archief


Elke 2e woensdag van de maand beantwoordt dierenarts Frank de Bont live vragen van luisteraars van Radio Noord. Tussen 13:30 en 14:00 uur bespreekt hij vragen over honden, katten, konijnen en andere huisdieren, inclusief actuele onderwerpen. In ons archief kun je eerdere vragen teruglezen.