Op 17 januari 2014 komt de zevenjarige poes Kitty met spoed naar de praktijk. Haar baasje heeft haar zojuist met een naald en draad zien spelen en wilde deze naald uit haar bekje halen. Dat lukte niet. Kitty spartelde te veel tegen. Haar baasje vroeg de buurvrouw ter assistentie maar bij terugkomst is naald én draad verdwenen. Had Kitty dit allemaal doorgeslikt? Of lag het ergens in de kamer?
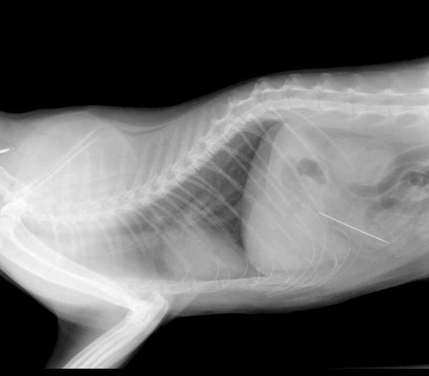
Op de röntgenfoto die wij vervolgens maakte bleek dat de naald in ieder geval door Kitty was doorgeslikt.....een spoedoperatie was het gevolg. Zie hier de foto's.
Röntgenfoto van Kitty
Onder narcose wordt de buik van Kitty geopend
De maag én darm wordt zorgvuldig en secuur nagekeken
Een klein puntje verraadt de naald: hij zit inmiddels in de dunne darm!
De darm wordt geopend
De naald komt te voorschijn
En de draad volgt...
Nog meer draad...
De darm wordt vervolgens netjes dichtgemaakt
Dit is belangrijk, omdat een niet goed sluitende wond tot een buikvliesontsteking zal leiden
De buik van Kitty is ook weer netjes gesloten
De boosdoener
Nog wel wat suf, maar Kitty komt goed uit de narcose
De volgende morgen maakt Kitty het al weer stukken beter. Tijdens de controle na drie dagen lijkt het alsof er niets gebeurd is. Hopelijk is deze ervaring voor Kitty een leermoment.




