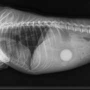
Op 11 augustus 2015 kwam de drie jaar oude poes Noortje op het spreekuur omdat ze zich niet lekker voelde. Ze had meerdere keren gebraakt en alleen een beetje water bleef binnen. Ze was verder iets rustiger dan normaal, maar zeker niet doodziek. We hebben haar goed onderzocht en afgezien van een iets gevoelige buik vertoonde Noortje geen afwijkingen. Voor de zekerheid hebben we een röntgenfoto van haar buik gemaakt en daar waren geen grove afwijkingen op te zien. 

 

Noortje5De buik van Noortje op de röntgenfoto

Ze is behandeld met een anti-braakmiddel en hoewel ze zich de volgende dag wel een stuk beter voelde had ze opnieuw een keer gebraakt en was ze nog steeds te rustig. Na goed overleg hebben we besloten op onder verdoving Noortje goed in de keel te kijken en eventueel de buik te openen om er achter te komen wat de oorzaak van het braken was. De keelinspectie leverde geen gekke dingen op, er zat niets achter het gehemelte wat de braakklachten kon verklaren. In de dunne darm kwamen we echter de boosdoender tegen: een lange vershoudstrip van, naar later bleek, een pakje salami van de supermarkt. Het stripje heeft natuurlijk lekker naar vlees geroken en is door Noortje opgegeten. Het plastic stripje liep vast in de dunne darm en de darm stroopte op die plek op als een harmonica met alle klachten van dien. Op de strip staat 'deze strip verwijderen', en dat hebben we dan oook gedaan. De ochtend na de operatie was Noortje weer helemaal de oude. Ze had gegeten en gedronken, maakte weer als vanouds lawaai en braakte niet meer! Let dus op met artikelen die wel naar iets lekkers ruiken, maar niet eetbaar zijn.

Noortje4'Deze strip verwijderen'

Noortje7

 
Noortje1Noortje voelt zich een dag na de operatie weer helemaal de oude!

Noortje2
Noortje3

Het laatste nieuws

Radio dierenarts Groningen / Vraag van de week archief


Elke 2e woensdag van de maand beantwoordt dierenarts Frank de Bont live vragen van luisteraars van Radio Noord. Tussen 13:30 en 14:00 uur bespreekt hij vragen over honden, katten, konijnen en andere huisdieren, inclusief actuele onderwerpen. In ons archief kun je eerdere vragen teruglezen.